Posts

0001
MM260511: Adult T-cell Leukaemia/Lymphoma (ATLL)
Thank you to everyone who commented on this week's botanical-themed mystery. While Valentine's Day may...
Read More
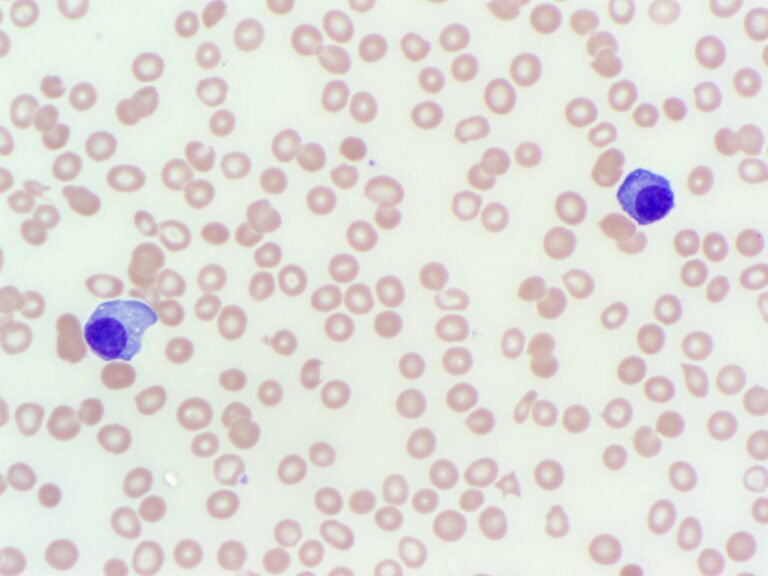
0004
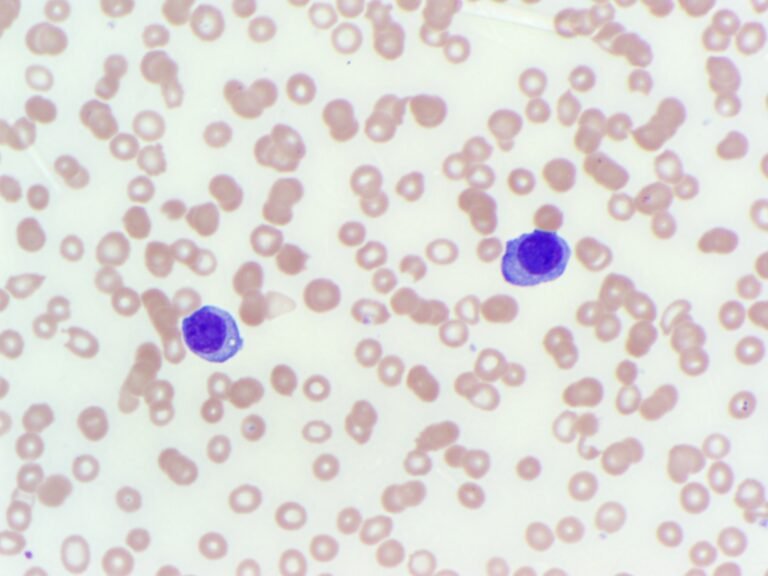
Morphology Monday | Case MM260511
Valentine’s Day might be behind us, but today's case is in full bloom this morning. This film is covered...
Read More
260504_04
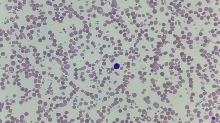
MM260504: Cold agglutinins
When the sample arrived in the lab, it had a "sandy" or gritty appearance inside the EDTA tube. Under...
Read More
260504_01
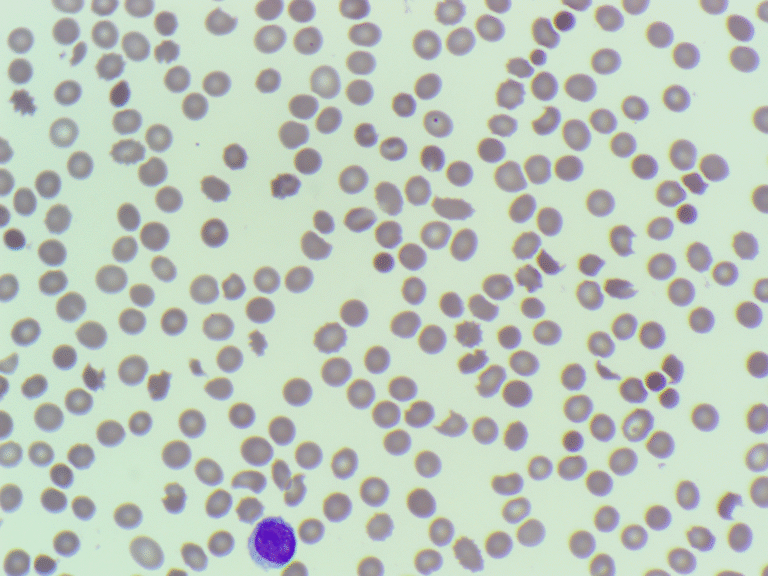
Morphology Monday | Case MM260504
Last week, I was helping my niece with her English homework. We were working on an exercise where you...
Read More
04
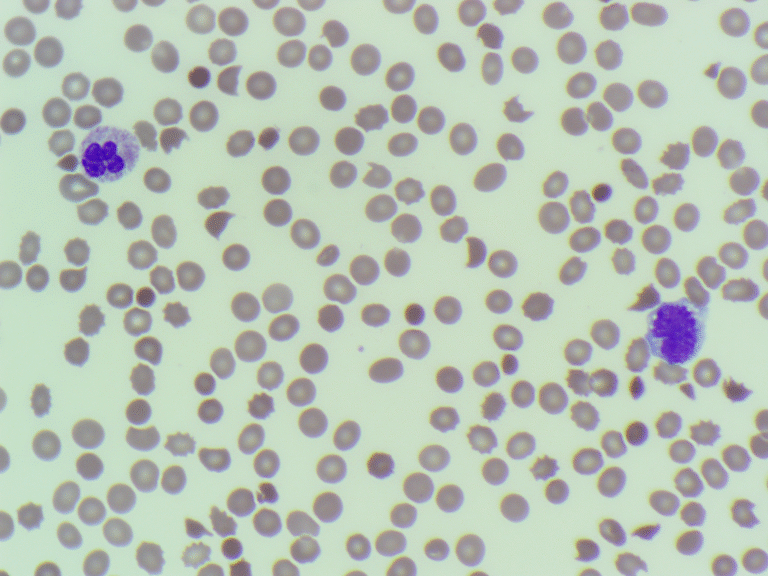
MM260413: B-ALL
The patient, a newly turned 18-year-old, presented on Christmas Day with a classic triad of acute leukaemia...
Read More
04
Morphology Monday | Case MM260413
I came across the results of a patient who had just celebrated their 18th birthday, only to then find...
Read More
260323_01
MM260323: Babesia
The pathognomonic feature of Babesia is the Maltese Cross a tetrad of four daughter merozoites joined...
Read More
260323_03
Morphology Monday | Case MM260323
This week’s case involves a 58-year-old patient who presented to the Emergency Department with a five-day...
Read More
MM260302_Image
MM260302: Loa Loa
The parasite identified is Loa loa, a filarial nematode endemic to West and Central Africa. It is transmitted...
Read More
MM260302_Image
Morphology Monday | Case MM260302
This week's case involves a 34 year old aid worker, who recently returned to the UK after spending two...
Read More
MM260216_Film
MM260216: Southeast Asian Ovalocytosis
Southeast Asian ovalocytosis is a common hereditary red cell membrane disorder in parts of Southeast...
Read More
MM260216_Film
Morphology Monday | Case MM260216
This week's case comes from a patient of Southeast Asian descent who was recently admitted for a routine...
Read More
MM260202_002
MM260202: "Crystals of death"
These inclusions are formally known as critical green inclusions or green neutrophilic inclusions. In...
Read More
MM260202_001
Morphology Monday | Case MM260202
This week’s case features a patient currently in the Intensive Care Unit (ICU) suffering from acute liver...
Read More
260126_3
MM260126: CML
This week’s case started with a "heads-up" call from the Haematology SpR before the sample even reached...
Read More
260126_WDF plot
Morphology Monday | Case MM260126
This week's case began with an urgent call from the haematology Specialist Registrar (SpR) before the...
Read More
260119 HDFN3
MM260119: HDFN
Based on these findings, the diagnosis is Haemolytic Disease of the Foetus and Newborn (HDFN) caused...
Read More
260119 HDFN3
Morphology Monday | Case MM260119
This week’s case comes from the Neonatal Intensive Care Unit. A newborn has presented with early-onset...
Read More
260112_04
MM260112: Post splenectomy changes
The patient is missing their spleen. In addition to the underlying HbE/β-thalassaemia, the film showed...
Read More
260112_01
Morphology Monday | Case MM260112
The blood film images are from a transfusion dependent patient who is a compound heterozygote for Hb...
Read More
30U375579_0003
MM260105: Prolymphocytes in CLL
Don't let a nucleolus default you to "Blast": Always assess the chromatin density.
Read More
30U375579_scatter plot
Morphology Monday | Case MM260105
62 year old patient presented to ED. Her FBC showed an increased white cell population with the analyser...
Read More
Stomatocyte
MM251201: Stomatocytes
A blood film was prepared for review, and the key morphological feature for participants to identify...
Read More
Stomatocyte
Morphology Monday | Case MM251201
This week's case comes from a 46 year old male who presented to his GP with no significant past medical...
Read More
20210319_210816109_iOS
MM251117: Chronic lymphocytic leukaemia (CLL)
These features are classical for CLL. The combination of a markedly elevated lymphocyte count, characteristic...
Read More
Barcode generator 1
Stop the Photocopy Panic: Introducing the Only Cells Blood Component Barcode Generator!
I've built a lightweight, web-based tool that eliminates the manual burden, allowing you to generate...
Read More
20210319_210902216_iOS
Morphology Monday | Case MM251117
This week’s case comes from an 84-year-old male who was referred to the haematology team after routine...
Read More
Image1
Blood component barcode generator
This tool allows you to generate blood component barcodes on an image that can then be used for training,...
Read More
MM251110 MHA
MM251110: May-Hegglin anomaly
These features are characteristic of May–Hegglin anomaly, one of the MYH9-related disorders. This group...
Read More
MM251110 MHA
Morphology Monday | Case MM251110
A 28-year-old female was referred to haematology after routine pre-operative blood tests revealed abnormalities...
Read More
20220130_211328066_iOS
MM251103: Chronic myelomonocytic leukaemia
The combined clinical, haematological, and immunophenotypic findings are consistent with Chronic Myelomonocytic...
Read More
20220130_211459264_iOS
Morphology Monday | Case MM251103
This week we have a case from a 61-year-old patient who presented with persistent fatigue and unintentional...
Read More
003
MM251027: Acute myeloid leukaemia
The blood film showed numerous myeloid blasts with Auer rods, supporting the diagnosis of AML. Flow cytometry...
Read More
002
Morphology Monday | Case MM251027
This week’s case comes from a 59-year-old male who presented to the Emergency Department with fatigue,...
Read More
02
MM251020: P. malariae
Earlier in the week a couple of blood film images were shared as part of this week's Morphology Monday...
Read More
01
Morphology Monday | Case MM251020
A middle aged traveller presented with mild, recurring fevers and general malaise several weeks and a...
Read More
20230115_214013835_iOS
MM251013: Acute promyelocytic leukaemia (APML)
The blood film shows a genuine thrombocytopaenia, with a leukocytosis comprising predominantly of promyelocytes...
Read More
20230108_154847768_iOS
Morphology Monday | Case MM251013
This week's Morphology Monday case is from a 57 year old who presented to the emergency department.
Read More
30U375579_0003
MM251006: Lymphoproliferative disorder (?PLL)
The findings are in keeping with a lymphoproliferative disorder (LPD). Given the predominance of prolymphocytes,...
Read More
30U375579_scatter plot
Morphology Monday | Case MM251006
This week’s case comes from a 62-year-old female whose sample was flagged by the analyser, but interestingly,...
Read More
1308BF_4
MM250915: Renal impairment / IDA
The case underlines how multiple comorbidities can converge to produce complex red cell morphology.
Read More
1308BF_5
Morphology Monday | Case MM250929
This week’s case comes from a patient with a complex clinical background. The patient presented with...
Read More
HbH 1
MM250915: Haemoglobin H disease
The blood film, stained with a supravital stain, revealed distinctive “golf ball” inclusions, blue precipitates...
Read More
HbH 1
Morphology Monday | Case MM250915
This week’s case comes from a 35-year-old patient who presented with fatigue, mild shortness of breath...
Read More
03
MM250908: P. ovale
The overall findings were consistent with Plasmodium ovale infection, one of the less common species...
Read More
ABID 3_Thumbnail
ABID – The weird and the wonderful webinar [3/3]
Following on from the foundations laid in Session 1: Tools of the Trade, and applications of those key...
Read More
03
Morphology Monday | Case MM250908
This week’s case comes from a 29-year-old male who returned from a recent trip abroad. He presented to...
Read More
HPP05
MM250901: Hereditary Pyropoikilocytosis (HPP)
The blood film demonstrated striking red cell fragmentation with marked anisopoikilocytosis, microspherocytes,...
Read More
HPP04
Morphology Monday | Case MM250901
This week's Morphology Monday comes from a 6 year old child who has been experiencing chronic anaemia...
Read More
28U956324_HUS_0008
MM250818: Haemolytic uraemic syndrome (HUS)
The blood film showed red cell fragmentation with schistocytes and occasional microspherocytes. ADAMTS13...
Read More
28U956324_HUS_0001
Morphology Monday | Case MM250818
This week’s case comes from a 35-year-old male who presented with fatigue and pallor, easy bruising,...
Read More
IMG_20180420_154618
Webinar Announcement: Antibody Identification – Session 3/3
In this final session of the ABID webinar series, we’ll explore some of the more unusual and challenging...
Read More
MM6
MM250804: Multiple myeloma
This week’s case explored a blood film from a patient with known multiple myeloma, now presenting with...
Read More
ABID2_thumbnail
ABID – Putting it into practice webinar [2/3]
Following on from the foundations laid in Session 1: Tools of the Trade, this session focused on applying...
Read More
MM1
Morphology Monday | Case MM250804
This week's case comes from a 69 year old male presenting with a increasing fatigue and back back over...
Read More
20221222_090609058_iOS
MM250728: Sickle cell disease
This week’s Morphology Monday case features a patient with known Sickle Cell Disease (SCD)
Read More
ABID2_thumbnail
Webinar Announcement: Antibody Identification – Session 2/3
Registration is now open for Session 2 of the Antibody Identification (ABID) Webinar Series: Putting...
Read More
20221222_090718521_iOS
Morphology Monday | Case MM250728
This week’s Morphology Monday case comes from a 26-year-old individual with a known history of anaemia...
Read More
04-5
MM250721: Acute lymphoblastic leukaemia (ALL)
The findings are highly suggestive of an acute leukaemia, and given the age of the patient it raises...
Read More
04-5
Morphology Monday | Case MM250721
This week’s case features a 14-year-old male who had just celebrated his birthday when he presented to...
Read More
29U013697-Thalassaemia_0006-3
MM250714: Thalassaemia
These findings raised the possibility of a haemoglobinopathy. Given the red cell morphology and raised...
Read More
ABID1_thumbnail-1
ABID - Tools of the trade webinar [1/3]
We’re thrilled to have kicked off our three-part webinar series on Antibody Identification (ABID). In...
Read More
29U013697-Thalassaemia_0001
Morphology Monday | Case MM250714
This week’s Morphology Monday features a 60-year-old female with a history of chronic anaemia and persistent...
Read More
20221023_200030629_iOS
MM250707: Splenic marginal zone lymphoma (SMZL)
This week’s case featured a patient with Splenic Marginal Zone Lymphoma (SMZL) a rare, indolent B-cell...
Read More
20221023_200214286_iOS
Morphology Monday | Case MM250707
...a patient who presented with fatigue and splenomegaly on examination. Routine bloods showed a significant...
Read More
29U833443-Megaloblastic-Anaemia_0003-2
MM250630: Megaloblastic Anaemia
The findings pointed toward a diagnosis of megaloblastic anaemia, in this case most likely due to vitamin...
Read More
29U833443 Megaloblastic Anaemia_0002
Morphology Monday | Case MM250630
Patient went to their GP and presented with fatigue and shortness of breath.
Read More
04-4
MM250623: Acute Myeloid Leukaemia
The findings are strongly suggestive of acute leukaemia of myeloid origin, though further flow cytometry...
Read More
01-2
Morphology Monday | Case MM250623
a patient who presented with a gastrointestinal (GI) bleed and was started on tranexamic acid (TXA) as...
Read More
20221204_122320016_iOS
MM250616: May Hegglin Anomaly
This week’s case focused on an adult male with a platelet count in the 54×0⁹/L, identified during routine...
Read More
IMG_20180420_154618
Webinar Announcement: Antibody Identification – Session 1/3
Session 1: Tools of the Trade will provide a solid foundation in the basic techniques and principles...
Read More
20221204_122243112_iOS-1
Morphology Monday | Case MM250616
Today’s case involves an adult male whose blood film was reviewed following an unexpected finding on...
Read More
20250609-CML_03-1
MM250609: Chronic myeloid leukaemia (CML)
CML is a myeloproliferative neoplasm driven by the BCR:ABL1 fusion gene
Read More
20250609-CML_02-1
Morphology Monday | Case MM250609
Case from an 80 something year old male who arrived with fatigue, early satiety, and notable weight...
Read More
platelet-satellitism_02
MM250602: Platelet Satellitism
Blood film showing platelets clustering around neutrophils. This week’s Morphology Monday case...
Read More
platelet-satellitism_02-1
Morphology Monday | Case MM250602
While assessing the film, an interesting phenomenon was noted, one that can influence how we interpret...
Read More
Is-morphology-dead-1
Is morphology dead? Why blood films still matter in the age of automation
I explore where automation falls short and why human interpretation remains essential in spotting artefacts,...
Read More
20250527-Infectious-Mononucleosis_1-1
Infectious mononucleosis: when lymphocytes take centre stage
Infectious mononucleosis (IM), also known as glandular fever, is a common clinical presentation in adolescents...
Read More
Morphology-Monday-May-2025
Morphology Monday: Six diagnostic challenges from the blood film
Special Morphology Monday feature published in The Biomedical Scientist
Read More
20250511_P-falciparum-1
Not what it seems - a challenging case of malaria
While band forms are classically linked to P. malariae, morphological overlap can occur, and a confident...
Read More
27U025877_HJB_SCD_Target-cells_0003-1
Red Cells: Howell-Jolly bodies
Howell-Jolly bodies are small, round inclusions
Read More
world malaria day, vector illustration,flat design
The unseen enemy: Why today matters in the fight against malaria
Malaria disproportionately affects children under five and pregnant women, especially in sub-Saharan...
Read More
Haemoglobinopathies_thumbnail-1
Haemoglobinopathies - The small details that make a big difference Webinar
Only Cells hosted another successful Webinar titled "Haemoglobinopathies - the small details that make...
Read More
Cryoglobulins-1
Cryoglobulins: A cold case in the blood
Cryoglobulins are abnormal antibodies (immunoglobulins) that precipitate or become insoluble at low...
Read More
AML-sitcky-blasts-4
Leukaemic dawn (short poem)
dawn of unknown paths
Read More
7415_Biomedical-scientist-looking-at-blood-film-on-microscope-1
Healthcare Scientists: Advocates for excellence
What some might perceive as "difficult" or "stubborn" in healthcare scientists is, in reality, unwavering...
Read More
Sickle-cells-2
Sickled crescents (short poem)
Red cells twist in crescent shape...
Read More
Borrelia-2-2
Wavy wonders: Borrelia's appearance under the microscope
Borrelia's morphology is distinct; they appear as thin, helical (spiral-shaped) organisms
Read More
AML-sitcky-blasts-2
Increased adhesion of blast cells in acute myeloid leukaemia
A notable feature of AML is the increased adhesiveness of these blast cells, leading them to adhere more...
Read More
Heart-purple-1
Stained with Love
In labs where life's frail secrets hide, And answers wait, deep inside,
Read More
IMG_20200409_153443__01-1
Winners and Losers
Who's in the right? Who's in the wrong? Who cares? We should focus on our own processes and not palm...
Read More
001-TTP-Diagnostics
TTP Diagnostics Webinar
Only Cells hosted an online webinar titled "TTP Diagnostics - Preventing a Fragmented Approach."
Read More
4
04
Red cells: Drepanocytes
Drepanocytes or as they are commonly known, sickle cells...
Read More
Blood sciences lab
Candour
In the heat of the situation people say all sorts, but nothing prepared me for that nonchalant yet cowardly...
Read More
O RhD Negative packed red blood cell unit
10 minutes
"Hi, it's OIR. Could I start a code red please? We have a patient on the ward who's crashed and have...
Read More
Peripheral blood film image showing acanthocytes
Red cells: Acanthocytes
Acanthocytes are red blood cells with irregular, spiky protrusions (spicules) on their surface.
Read More
A blood film image from a patient with a PR bleed showing hypochromic cells
Red cells: Hypochromia
Refers to pale red cells
Read More
Peripheral blood film showing blister cells in a patient with G6PD deficiency
Red cells: Blister (hemighost) cells
Blister cells are red blood cells that have a blister or bubble like appearance on their surface.
Read More
A blood film image from a patient with Beta thalasseamia, showing dimorphic red cells
Red Cells: Dimorphism
The presence of two distinct population of red cells.
Read More