• Shop
  • Posts
  • About
  • Contact
Skip to content

🤍

£0.00 0 Cart
  • Shop
  • Posts
  • About
  • Contact
£0.00 0 Cart

🤍

Only Cells

Morphology Monday | Case MM260413
Morphology Monday | Only Cells | White cells

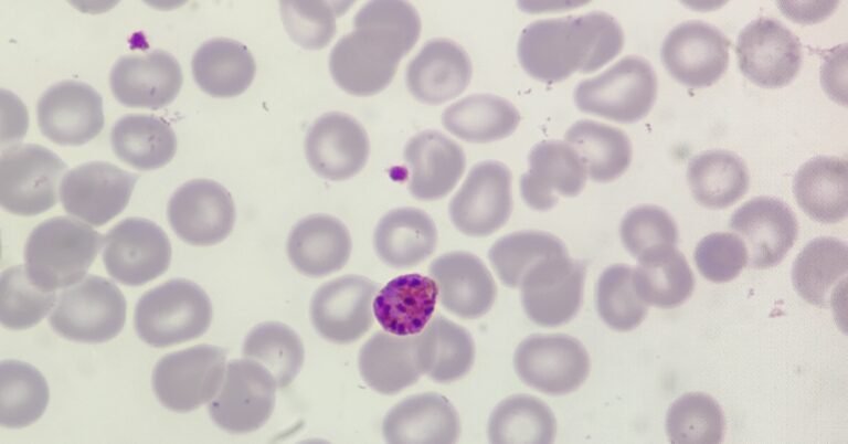
Morphology Monday | Case MM260413

ByAnas 13/04/202613/04/2026

I came across the results of a patient who had just celebrated their 18th birthday, only to then find themselves admitted to the hospital on Christmas Day. What started as “holiday fatigue” quickly evolved into a clinical picture that demanded urgent haematological investigation.

Read More Morphology Monday | Case MM260413Continue

MM260323: Babesia
Morphology Monday | Only Cells | Parasites

MM260323: Babesia

ByAnas 27/03/202627/03/2026

The pathognomonic feature of Babesia is the Maltese Cross a tetrad of four daughter merozoites joined together. While our images showed a “partial cross” rather than a perfect tetrad, this arrangement is a definitive “smoking gun” that excludes malaria.

Read More MM260323: BabesiaContinue

Morphology Monday | Case MM260323
Morphology Monday | Only Cells | Parasites

Morphology Monday | Case MM260323

ByAnas 23/03/202623/03/2026

This week’s case involves a 58-year-old patient who presented to the Emergency Department with a five-day history of worsening “flu-like” symptoms, including high fevers, drenching sweats, and significant fatigue.

Read More Morphology Monday | Case MM260323Continue

Microfilaria | Morphology Monday | Only Cells | Parasites

MM260302: Loa Loa

ByAnas 06/03/202601/03/2026

The parasite identified is Loa loa, a filarial nematode endemic to West and Central Africa. It is transmitted to humans via the bite of an infected Chrysops fly (deer fly).

Read More MM260302: Loa LoaContinue

Microfilaria | Morphology Monday | Only Cells | Parasites

Morphology Monday | Case MM260302

ByAnas 02/03/202601/03/2026

This week’s case involves a 34 year old aid worker, who recently returned to the UK after spending two years in West Africa, with significant time spent in the rainforest regions.

Read More Morphology Monday | Case MM260302Continue

Morphology Monday | Only Cells | Red cells

MM260216: Southeast Asian Ovalocytosis

ByAnas 20/02/202615/02/2026

Southeast Asian ovalocytosis is a common hereditary red cell membrane disorder in parts of Southeast Asia, particularly in Malaysia, Papua New Guinea, and the Philippines. Unlike other forms of elliptocytosis, these cells are exceptionally rigid.

Read More MM260216: Southeast Asian OvalocytosisContinue

Morphology Monday | Case MM260216
Morphology Monday | Only Cells | Red cells

Morphology Monday | Case MM260216

ByAnas 16/02/202615/02/2026

This week’s case comes from a patient of Southeast Asian descent who was recently admitted for a routine surgical workup. Interestingly, despite having no significant symptoms of anaemia, their laboratory results caught the attention of the haematology team.

Read More Morphology Monday | Case MM260216Continue

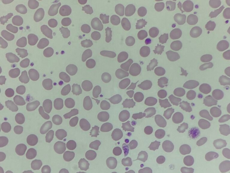
MM260202: “Crystals of death”
Morphology Monday | Only Cells | Red cells | White cells

MM260202: “Crystals of death”

ByAnas 06/02/202601/02/2026

These inclusions are formally known as critical green inclusions or green neutrophilic inclusions. In clinical circles, they have earned the ominous nickname “crystals of death” due to their strong association with impending mortality.

Read More MM260202: “Crystals of death”Continue

Morphology Monday | Case MM260202
Morphology Monday | Only Cells | Red cells | White cells

Morphology Monday | Case MM260202

ByAnas 02/02/202601/02/2026

This week’s case features a patient currently in the Intensive Care Unit (ICU) suffering from acute liver failure. The laboratory data and the resulting blood film provide a sobering look at the systemic impact of hepatic collapse.

Read More Morphology Monday | Case MM260202Continue

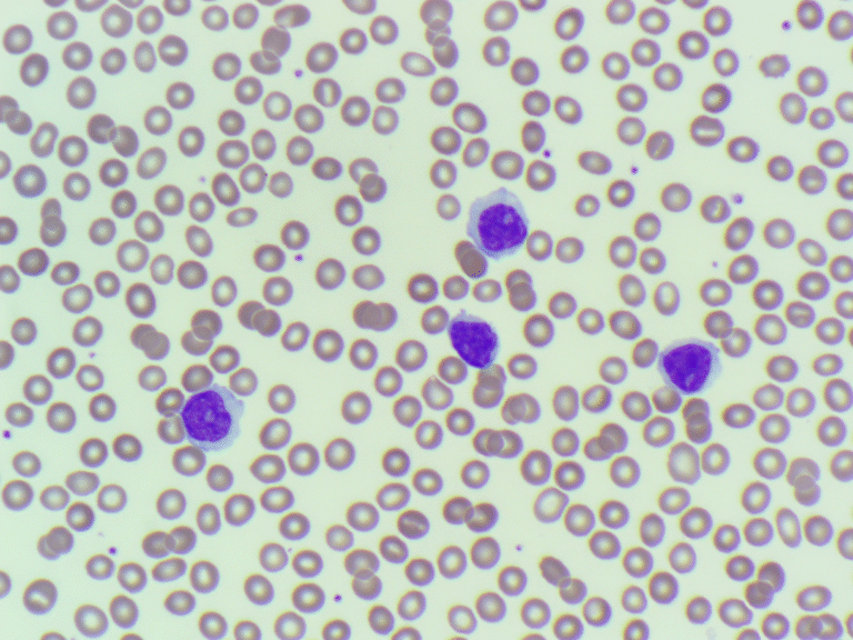
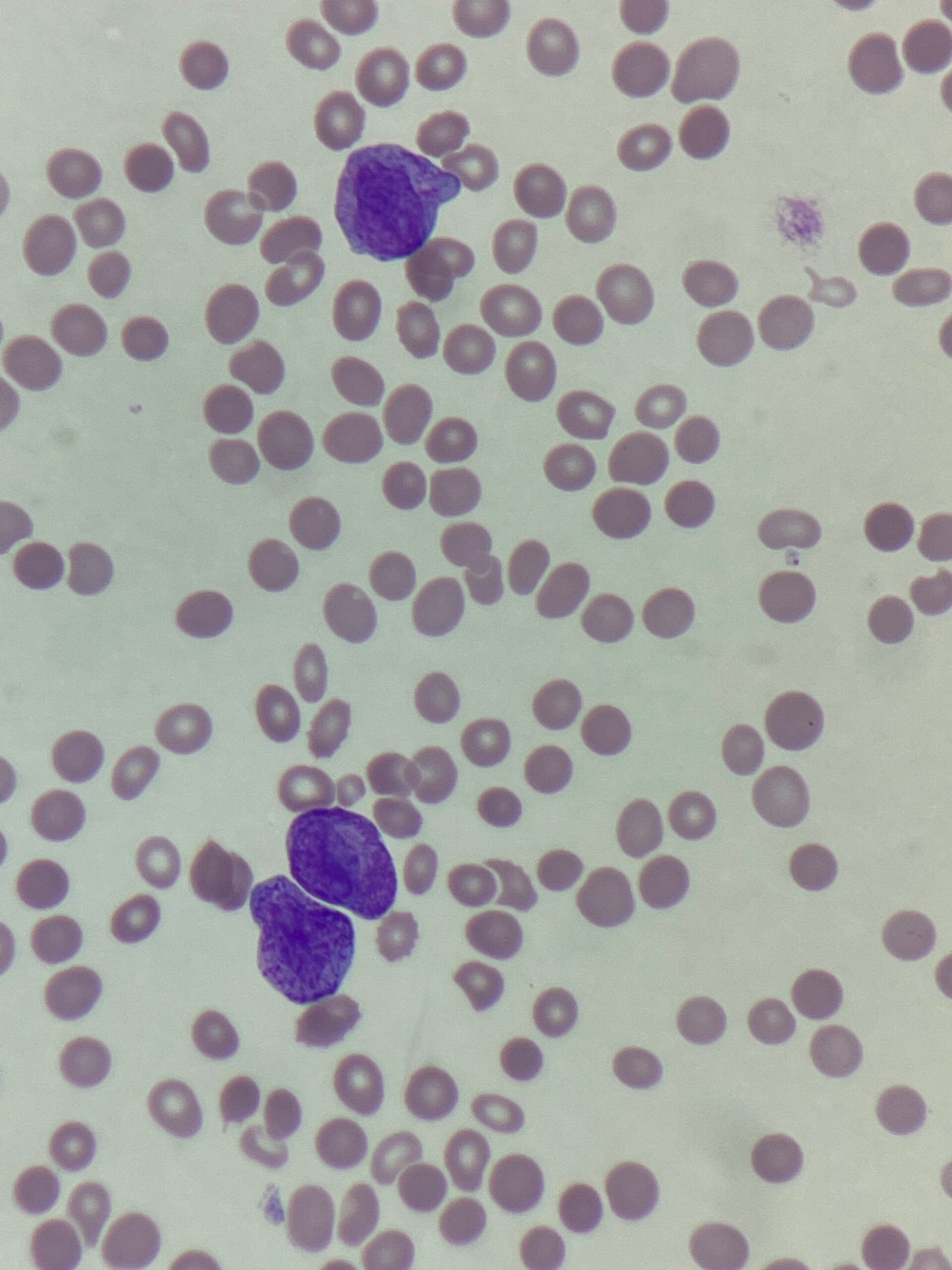
MM260126: CML
Morphology Monday | Only Cells | White cells

MM260126: CML

ByAnas 30/01/202625/01/2026

This week’s case started with a “heads-up” call from the Haematology SpR before the sample even reached the lab. The staggering WBC and the specific clinical request made for an interesting discussion.

Read More MM260126: CMLContinue

Page navigation

1 2 3 … 10 Next PageNext
  • Whatsapp
  • Email
  • YouTube
  • Twitter
  • Instagram
  • Linkedin

Privacy Policy | Refund & Return Policy | Only Cells LTD © 2025