
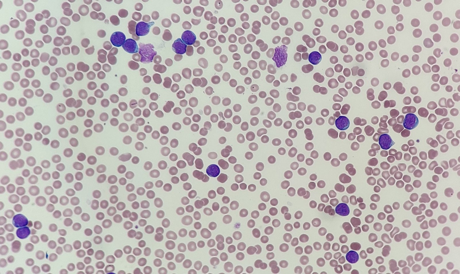
This week’s case features a 14-year-old male who had just celebrated his birthday when he presented to hospital with an abnormal full blood count and some concerning symptoms. A blood film was requested for review.
Full blood count result:
- WBC: 81.25 ×10⁹/L
- RBC: 1.08 ×10¹²/L
- Haemoglobin: 114 g/L
- HCT: 0.333
- MCV: 81.6 fL
- MCH: 27.9 pg
- MCHC: 342 g/L
- RDW: 14.3%
- Platelets: 61 ×10⁹/L
- MPV: 10.2 fL
Blood film images:


What do you think it could be? Diagnosis will be shared at the end of the week as always!
2 Comments
Medium to large cells with bluish scanty cytoplasm with 1-2 inconspicuous nucleoli probably lymphoblasts : Morphology favours ALL
Great!