It’s not often the first day of the month aligns with a Monday and you know what that means! It’s time for a new case.
This week’s case comes from a 46 year old male who presented to his GP with a few weeks of:
- Increasing tiredness
- Mild shortness of breath on exertion
- Occasional light-headedness
He has no significant past medical history, does not take regular medications, and reports no recent infections. He drinks alcohol socially but not excessively. On examination:
- Mild pallor noted
- No jaundice
- No hepatosplenomegaly
- Vitals within normal limits
His GP requested routine blood tests, which showed some notable abnormalities and prompted the laboratory to review the blood film.
FBC Results showed:
- Haemoglobin: 104 g/L
- RBC: 3.5 × 10¹²/L
- HCT: 0.32
- MCV: 91 fL
- MCH: 29.7 pg
- MCHC: 326 g/L
- RDW: 14.2%
- WBC: 6.7 × 10⁹/L
- Platelets: 480 × 10⁹/L
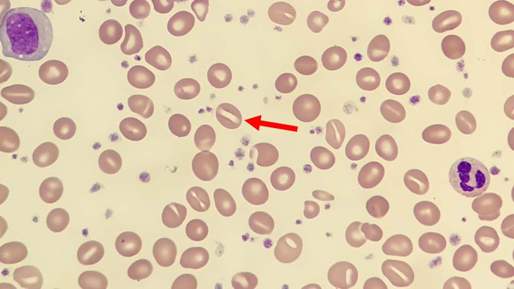
A blood film was prepared for morphology review:

What is the highlighted cell you can see in the image? What conditions do you associate with it?
3 Comments
Stomatocyte. liver (alcool)
Hereditary stomatocytosis – over hydrated and dehydrated
Hereditary stomatocytosis, Chronic liver disease, alcoholic liver, certain hemolytic anemia as increased platelets.